Zaman berlalu dengan pantas. Jika dulu ibu yang mengandung hanya perlu berurut dengan bidan kampung untuk tahu kedudukan dan jantina bayi yang dikandungkan. Kini, dengan kemajuan dan kecanggihan dunia perubatan, ibu hamil hanya perlu datang ke klini atau hospital untuk mengetahui semua maklumat terperinci bayi mereka.
3D4D Scan di Poliklinik Annur, Bandar Mahkota Cheras khususnya menawarkan perkhidmatan ini. Seronoknya, bakal ibu ayah akan menerima beberapa manfaat daripada 3D4D Scan ini. Antaranya ialah :
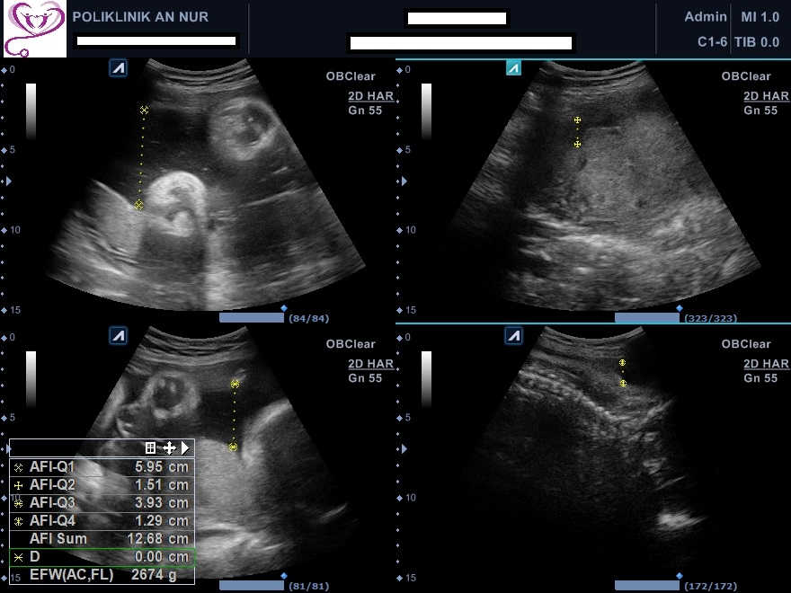
- Mengetahui tahap kesihatan dan perkembangan bayi
- Mengetahui kedudukan uri (atas/bawah)
- Mengetahui kadar air ketuban sama ada mencukupi atau tidak
- Mengetahui kedudukan bayi (normal/songsang)
- Melihat semua bahagian badan bayi secara terperinci
- Mengetahui panjang dan lebar bayi
Selain itu, trend untuk memuatnaik gambar bayi ketika di dalam perut semakin mendapat tempat. Selepas 3D4D Scan juga, bakal ibu bapa akan menerima gambar dan video bayi dalam bentuk softcopy dan hardcopy.



3D4D Scan ini hanya disarankan kepada kandungan ibu hamil yang berusia 24 hingga 32 minggu sahaja (6 hingga 8 bulan)
